市售牙貼 vs. 診所冷光美白,你知道差別在哪嗎?(Feat.頭等艙 陳翊文醫師)
想讓牙齒變白,是許多人提升自信與形象的第一步。市面上牙貼等居家美白商品琳瑯滿目,廣告也常讓人心動,但這些產品和牙科診所提供的「專業美白療程」差在哪裡?以下幫你整理兩者的差異,讓 #陳翊文醫師幫您選擇最適合您的美白方式!
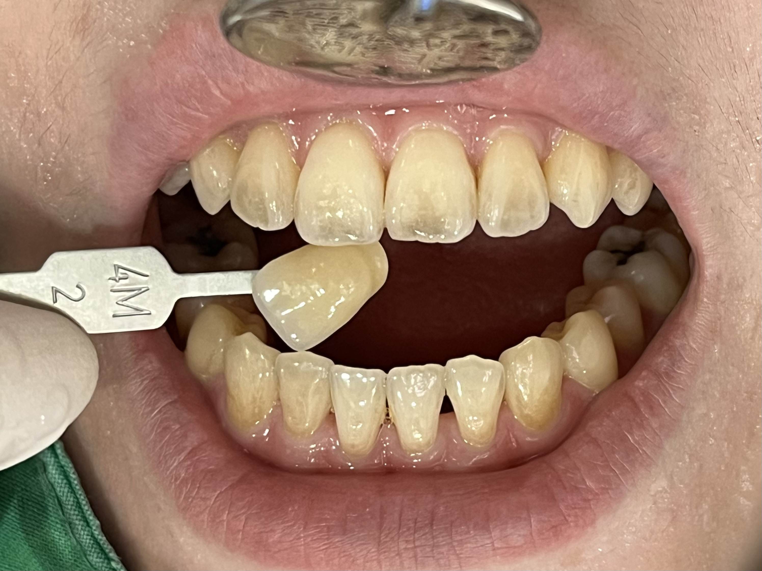
原理比較:
| 項目 | 市售牙貼 | 診所冷光美白 |
| 作用原理 | 將含有過氧化氫成分的凝膠黏貼於牙齒表面,使其產生氧化還原反應,代謝掉原先牙齒上沉澱的色素,從而達到白效 | 醫師評估後使用高濃度藥劑(過氧化氫),並結合光照加速反應 |
| 藥劑濃度 | 固定配方、無法依個人狀況調整 | 由醫師依牙齒狀況客製化濃度與時間 |
| 作用 | 市售的美白貼片當中的過氧化氫濃度都約在 6 % ~ 10 % 左右,需要長期的使用才有效果 | 可深入牙齒結構,達到更明顯亮白效果 |
效果與安全性
| 項目 | 市售牙貼 | 診所冷光美白 |
| 效果明顯度 | 約1~2階色差,效果有限 | 可達4~8階色差,療程結束立即見效 |
| 效果持久性 | 效果短,需持續使用維持 | 可維持1~2年,搭配居家美白可延長效果! |
| 風險 | 使用不當易造成牙齦刺激、牙齒酸軟 | 全程由專業醫師操作,使用醫療級藥劑,並採低冷光照射 |
| 適合族群 | 預算有限但有美觀需求者 | 拍畢業照、婚禮拍攝、求職面試者 |
市售牙貼副作用
1.牙齒傷害
市售貼片為有效達到美白的效果,通常都含有過氧化氫,這些成分可能磨損牙齒表面的琺瑯質,偶爾用或許不會造成影響,不過長期頻繁的使用會讓牙齒損傷越來越嚴重,讓牙齒越來越薄喔!
2.牙齦問題
美白藥劑的成分濃度太強,可能會對牙齦造成傷害(例如:牙齦紅腫刺痛)問題。
3.牙齒色差
由於牙貼是平面的,而牙齒本身是立體的,即使使用上黏貼得再服貼,還是會有縫隙存在,久而久之,牙齒接縫處色差可能就會越來越明顯。
4.牙齒易受刺激
牙齒結構遭到破壞後,容易導致牙齒對於冷熱感受較敏銳,故在食用特定食物時,就會感到痠痛及疼痛
醫師小提醒
市售美白產品雖方便,但因濃度低、無法針對個人狀況調整,有效果也較緩慢。若本身有蛀牙、牙齦萎縮、牙本質敏感等問題,更應避免自行使用,以免加劇不適!
歡迎來頭等艙牙醫診所,給溫柔又細心的 #陳翊文醫師 評估是否適合進行美白療程,並給予合適建議,讓你白得安全又安心