【牙醫師來解答】中年矯正行不行?影響的不只是你的美觀,還有你的全身健康(feat.王子欣醫師)
中年才矯正牙齒來的及嗎?

矯正牙齒是没有年齡限制的,如果牙齒長期的凌亂有可能導致牙齒交疊的地方形成牙菌斑,進而造成牙結石的堆積,如此一來,有可能導致比較高的蛀牙率,甚至引發牙周病,但是如果能將牙齒矯正整齊的話,對於牙齒以及身體的健康都是會有幫助的。

中年矯正的三大優點
▶咀嚼及飲食功能改善
如同文章開頭提到的,中年族群當中有部分的人,因為各種牙齒疾病導致缺牙,缺牙狀況也會伴隨著咀嚼、飲食的不易,如果能透過矯正治療,改善缺牙的空間,後續再進行假牙的療程,整體的咀嚼功能也會大幅提升。
相關文章:缺牙大危機|缺顆牙沒關係吧?(請點我)
▶美觀
其實有很多中年人是沒有做過牙齒矯正的,牙齒排列的狀況也相對的凌亂,還有另外一種狀況是,牙齒因為骨質喪失而出現縫隙,若此情況是發生在前牙美觀區,在美觀上就會受到影響,如果能透過牙齒矯正治療,讓牙齒排列整齊,在美觀上會有很大的幫助。
▶牙齒清潔改善
因牙齒長期排列凌亂,導致不容易做好牙齒清潔,在牙齒交疊處的蛀牙率也相對較高,而清潔不易更促使牙周病不容易得到良好的控制,因此,透過牙齒矯正治療讓牙齒排列整齊後,在清潔上也會得到大幅的改善。

中年矯正容易遇到的難題
▶骨頭較硬
中年人相對於年輕人來說骨質較硬,骨頭代謝的程度下降,因此在矯正治療時牙齒移動的速度會較為緩慢,時間上也相對會拉長,因此在牙齒矯正的過程會需要更多的耐心去等待。
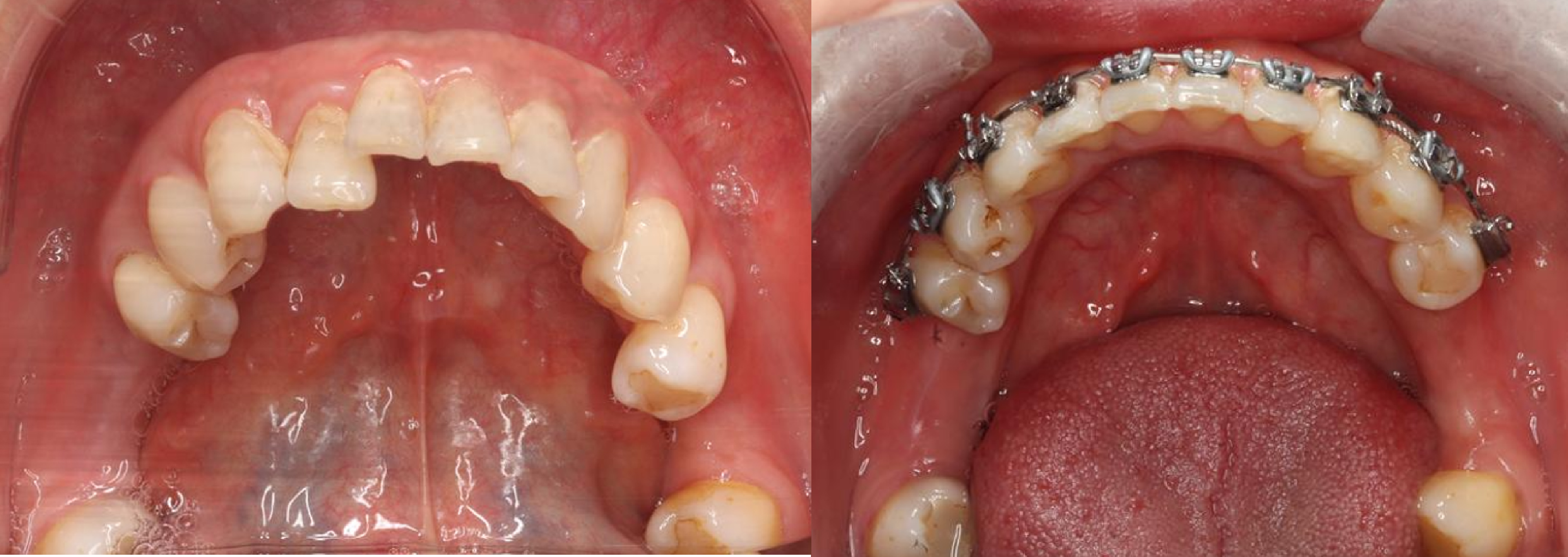
▶牙齒狀況複雜
部分中年人的口腔狀況時常合併缺牙、好幾顆沒有處理的蛀牙、嚴重牙周病,或是口內有多顆填補物及假牙,如果遇到這些比較複雜的狀況,通常會需要和其他專科醫師一起協同治療,對於後續牙齒矯正治療才能有所成效。
▶牙周病
其實中年人患有牙周病的比例是非常高的,在矯正治療前會需要先將牙周病做妥善控制,因此都會先轉診給牙周病醫師做治療,等到牙周狀況得到控制之後,才可以開始矯正治療。
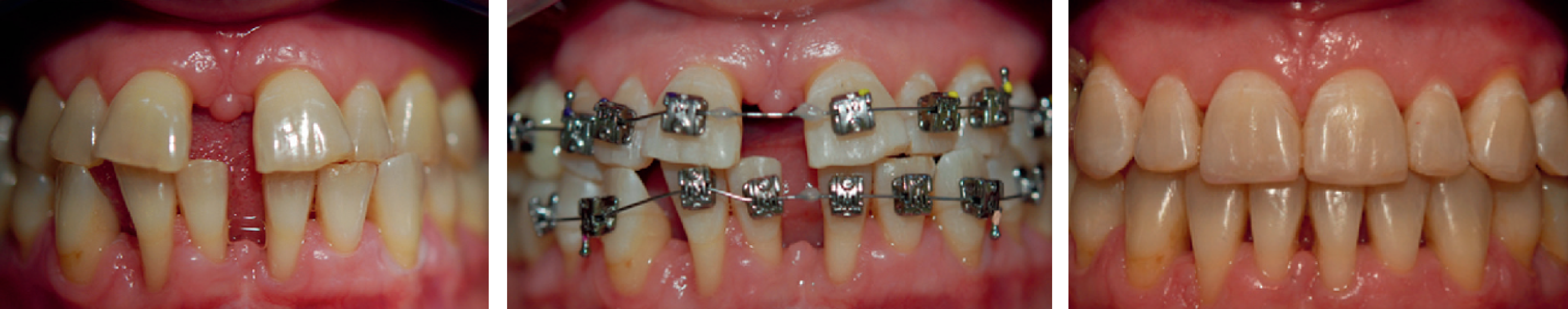
有牙周狀況的牙齒,會如何進行矯正呢?
牙周病患者的矯正治療方式與一般患者其實是會有一點不同的,所以在力量的控制上會較輕,且矯正醫師在治療過程中會特別注意牙齒的清潔,以保護原本較脆弱的牙周組織。

王子欣醫師表示,綜合上述的案例來看,無論是什麼年紀的患者,都是可以進行矯正治療的,除了能擁有整齊的牙齒,更能保持你的全身健康,若是牙齒本身很凌亂,已經影響到清潔的狀況,或是伴有牙周病以及長期缺牙的患者,推薦您至林口頭等艙牙醫診所做諮詢,提早接受治療並且評估矯正的必要性,以改善口腔整體的健康。