顯微美學陶瓷貼片|讓笑容重獲新生
一、什麼是陶瓷貼片
陶瓷貼片,又稱牙齒美白貼片,能夠快速改善牙齒的形狀、長度與顏色,將牙齒表面磨掉薄薄一層後,再將瓷片以特殊高強度之複合樹脂將瓷片黏著在牙齒表面上,特別適合在重要場合前完成牙齒美白與微矯正。
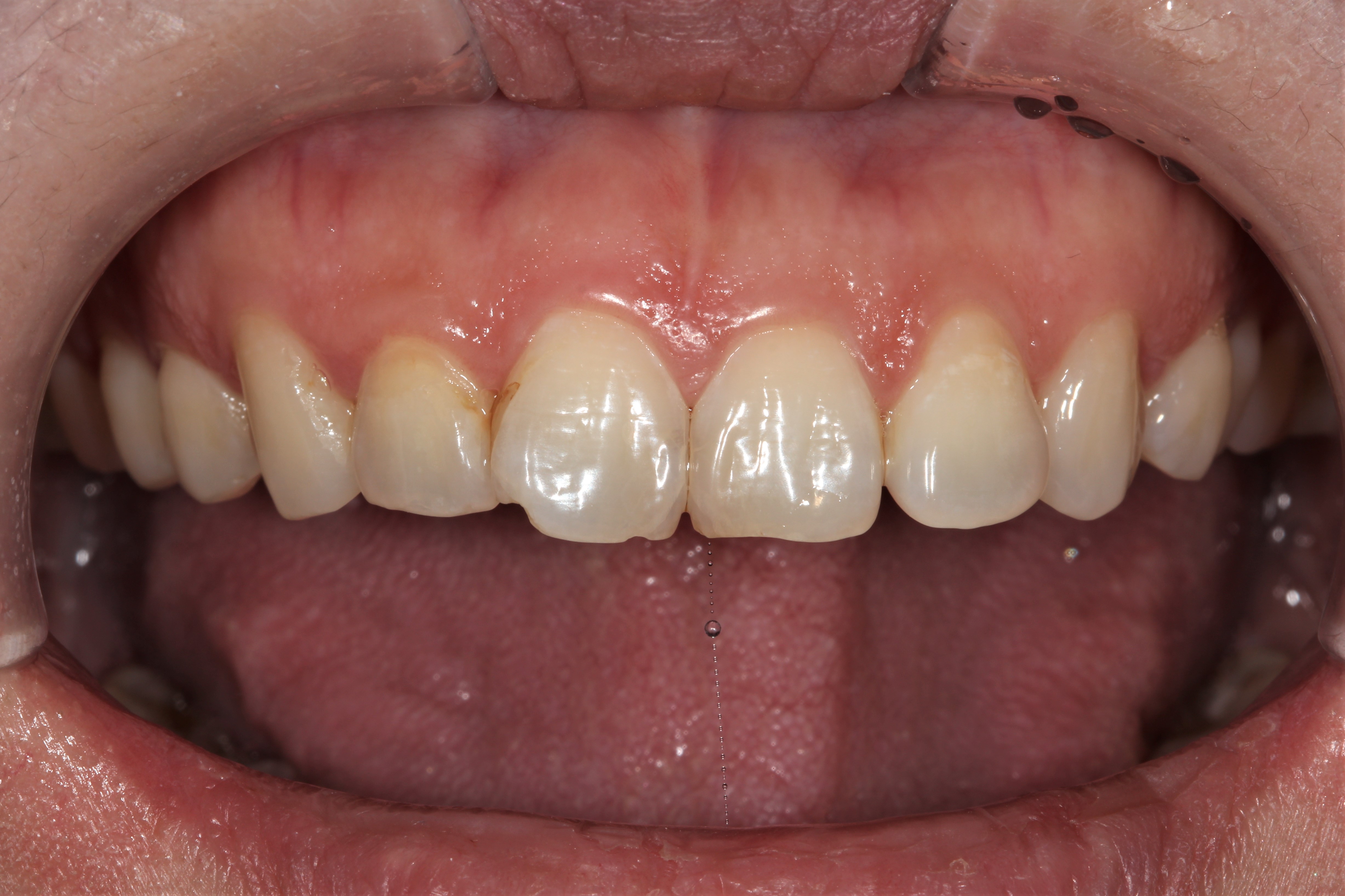
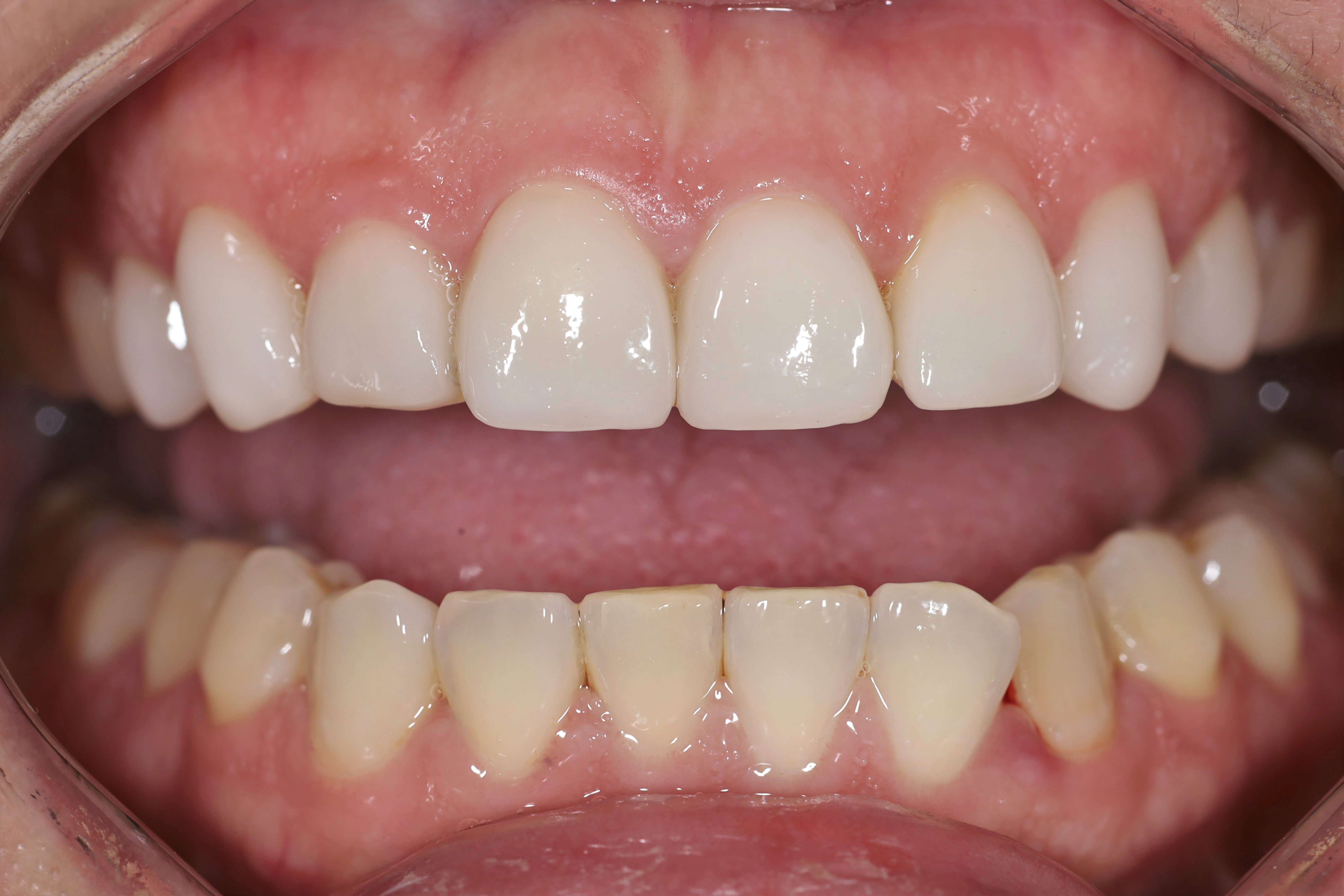
- 前牙美白
| 術前 | 術後 |
二、陶瓷貼片優勢
1. 改善牙齒長度、牙縫黑三角、齒列不正、邊緣不期、歪牙、虎牙等微整形
2. 解決牙黃,提供天然的牙齒外觀
3. 修復牙齒斷裂、缺角
4. 瓷牙貼片色澤透光,自然美觀
5. 相較傳統方式,使用顯微鏡精細消磨齒質量少
三、陶瓷貼片注意事項
1. 此過程屬不可逆的
2. 如果貼片有裂縫是無法修復需要重做
3. 不適用牙齒不健康者和牙齒未完全發育者,如年紀尚小、牙周病、牙齦萎縮等患者。
四、顯微美學貼片與一般貼片有什麼不同?
兩者最大的差異在於細節與質感大不同,
醫師會全程使用顯微鏡精細磨牙、確保貼片與牙齒密合度,
不只讓美觀度更精緻,貼片壽命也更長。
五、貼片製作流程
第一步、先與醫師諮詢並提供給每位患者專屬治療計畫
第二步、牙齒微修磨(約0.3~0.7mm)與調整,確定患者合適的顏色,並裝上「臨時貼片」,等待技工所製作時間約7~14個工作天
※取模型當天會先給予臨時貼片來保護修磨後的牙齒,臨時貼片如果脫落,建議回診所重裝,避免修磨後的牙齒受損。
第三步、拆掉臨時貼片,使用特殊樹脂黏劑裝上精緻貼片,最後進行咬合調整,恢復亮白牙齒,完成所有陶瓷貼片療程。
※聲明:本院所療程皆由專業醫師評估後,依照個人口腔及身體狀況進行治療。
因為每位患者個別狀況不同,術後狀況也不盡相同,所以治療計畫需交由專業醫師評估後再開始製作貼片。
六、術後維護與保養
1.為確保貼片長久使用,請避免咬堅硬物,如嗑瓜子、甘蔗、蟹殼、芭樂籽等
2.減少飲用咖啡和攝取會令牙齒染色的食物。
3.初帶臨時貼片時有輕微冷熱敏感屬正常現象。
3.『臨時貼片』若脫落破損建議回診所重裝以保護修磨後的牙齒。


.jpg)